Aktuality
Oddelenie rádiológie má nové intervenčné pracovisko
V Stredoslovenskom ústave srdcových a cievnych chorôb a.s. pomôže pacientom s cievnymi ochoreniami nový angiografický systém ARTIS Q od spoločnosti Siemens Healthineers. Prístroj, ktorý nahradil už zastaralý systém staršej generácie, je určený na diagnostiku a liečbu ochorení ciev v celom anatomickom rozsahu s výnimkou ciev srdca. Nachádza sa v nových, moderných priestoroch pracoviska intervenčnej rádiológie a bude slúžiť hlavne pacientom s aterosklerotickým postihnutím (upchávaním) ciev, výduťami ciev, pacientom s cukrovkou, u ktorých hrozí amputácia končatiny, ďalej pacientom s rozsiahlou hlbokou žilovou trombózou a pľúcnou embóliou.
Stredoslovenský ústav srdcových a cievnych chorôb patrí k vedúcim centrám v endovaskulárnej liečbe výdutí a disekcií aorty na Slovensku. Prístroj vďaka integrovanému intravaskulárnemu ultrazvuku a najmodernejšiemu softwarovému vybaveniu, vrátane 2D/3D navigácie a fúzie s CT obrazom, ďalej posúva možnosti terapie a umožní bezpečnejšiu liečbu aj tých najkomplikovanejších prípadov.
Choroby ciev postihujú veľkú časť obyvateľstva a predpokladá sa, že ich výskyt bude v nasledujúcich rokoch výrazne stúpať. Nový angiograf vďaka špičkovej technológii skráti čas vyšetrenia pacienta, výrazne zredukuje radiačnú dávku a aj objem podanej kontrastnej látky pri zachovanej najvyššej kvalite zobrazenia. Okrem plánovaných zákrokov zaisťuje pracovisko intervenčnej rádiológie aj nepretržitú 24 hodinovú príslužbu pre akútne neodkladné stavy.
Slávnostné otvorenie tohto nového intervenčného pracoviska bolo dňa 2.2.2024 aj za účasti pani ministerky zdravotníctva Zuzany Dolinkovej.
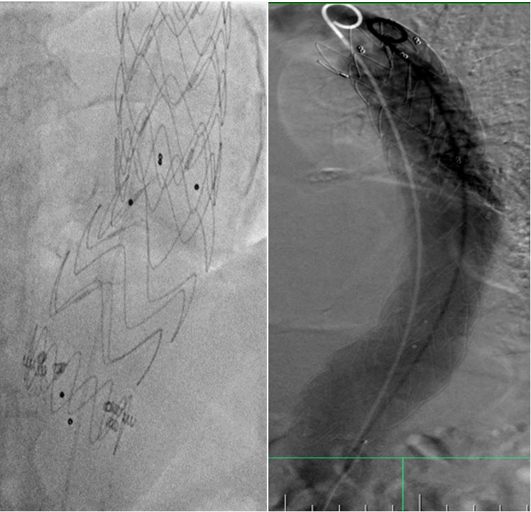
Nový prístroj si našiel okamžité uplatnenie v liečbe komplexných ochorení aorty.
Pacient s výduťou brušnej aorty a panvových tepien ošetrený miniinvazívne cez malý rez v slabine pomocou špeciálnej cievnej protézy, ktorá umožňuje zachovať tok aj do vnútornej panvovej tepny. Pomocou 3D navigácie a fúzie s CT obrazom sa skrátil celkový čas implantácie a výrazne zredukovala radiačná dávka aj objem podanej kontrastnej látky.
Pacient s objemnou výduťou hrudnej aorty s krátkou implantačnou zónou ošetrený za pomoci 3D navigácie hrudným stentgraftom a fixovaný pomocou endoskrutiek za účelom zabránenia neskorej migrácie (posunu) graftu.
Zoznam aktualít
Keď hranice medicíny ustupujú
V júni 2025 sme spustili program eKPR, ktorý už pomohol 10 pacientom. Príbeh pána Ladislava potvrdzuje, že aj odvážne rozhodnutia môžu zachraňovať životy.
+MR vyšetrenie
Pozvánka na odborný seminár
Pre sestry a pôrodné asistentky, rádiologických technikov, praktické sestry – asistent, nutričný terapeut, sanitár, fyzioterapeut, verejný zdravotník SÚSCCH, a. s.
+1000. TAVI pacient v SSÚSCH Banská Bystrica
Štvrtý ročník odbornej vzdelávacej akcie ECMO BB 2025
SÚSCCH pokračuje v rozvoji ECMO excelentnosti na svetovej úrovni
Kaplnka blahoslaveného Jána Havlíka
SUSCCH, a.s. v Banskej Bystrici na svetovej kardiologickej scéne
LIVE prenos z našej intervenčnej sály
+Spustili sme nový program, ktorý posúva limity urgentnej medicíny
program, ktorý dáva nádej pacientom
+Naše sestry - naša budúcnosť
Pri príležitosti Medzinárodného dňa sestier sa v Banskej Bystrici konala odborná konferencia
+Výnimočný workshop na otváranie chronických uzáverov koronárnych artérií (CTO)
2. apríla sme v našom ústave hostili unikátny workshop
+Revolučný prístroj CARL
Pokračujeme v príprave implementácie eKPR programu v ECMO centre Banská Bystrica!
+XIII. Stredoslovenský kardiologický deň a 20. výročie vzniku SÚSCCH, a. s.
24.10.2023, Hotel Kaskády, Sliač
+12. máj - Deň zdravotných sestier
Milé zdravotné sestry a ošetrovateľky! Veľmi si vážime Vašu oddanosť...
+Očkovacie miesto SUSCCH a.s.
Poďakuj sestre
Medzinárodný deň sestier
Sestry na celom svete si 12.mája každoročne pripomínajú deň narodenia zakladateľky a priekopníčky moderného ošetrovateľstva Florence Nightingale
+Zrušenie ústavnej pohotovostnej služby
Prvá implantácia MitraClip
Dňa 12.1.2018 sa uskutočnila prvá implantácia MitraClip-ov v Banskej Bystrici.
+





















































































